The Anatomy Of A Smile: Repairing Black Triangles With Ease

Itmorelia
How To
The Anatomy Of A Smile: Repairing Black Triangles With Ease

The Anatomy Of A Smile: Repairing Black Triangles With Ease

Sudden Interest in Repairing Black Triangles Spikes Globally

For reasons both profound and superficial, the quest to perfect the human smile has never waned. A global phenomenon, the desire for radiant and confident smiles can be linked to shifting cultural values, increased accessibility to dental care, and widespread social media influence.

According to recent trends, the demand for smile-enhancing treatments has seen an unprecedented surge. This spike is attributed to the growing awareness of the emotional and psychological impact of a 'perfect' smile on one's self-esteem and social standing.

The Cultural and Economic Impact of Perfect Smiles

Culturally, the ideal of a flawless smile is often synonymous with beauty, youth, and success. In many societies, an aesthetically pleasing smile is seen as an essential aspect of one's professional and personal life. This expectation can lead individuals to invest substantial sums in dental procedures to achieve the coveted 'million-dollar' smile.

Moreover, the economic implications of the smile industry cannot be overstated. Estimated at tens of billions of dollars annually, the market for cosmetic dentistry, orthodontic treatments, and smile-enhancing technologies has grown exponentially in recent years.

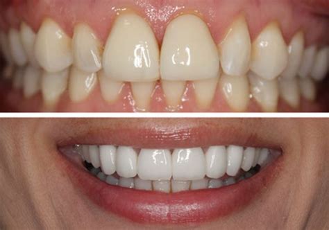
Understanding the Mechanics of Repairing Black Triangles

So, why do black triangles, those pesky spaces between teeth, pose such a significant challenge? The answer lies in the intricate dynamics between periodontal health, gum recession, and tooth alignment.

The black triangle phenomenon occurs when the gum tissue recedes, exposing the root surface of the tooth and creating a dark, void-like space. This can be due to various factors, including gum disease, orthodontic treatments, or even natural aging processes.

how to fix black triangles in teeth

The Anatomy of a Smile: A Closer Look

Let's dissect the components of a 'perfect' smile and explore the science behind its allure.

1. **Color and Texture**: A healthy, vibrant smile is characterized by even, symmetrical color distribution and a seamless blend of enamel and dentin.

2. **Tooth Alignment**: Properly aligned teeth create a visually balanced and harmonious smile line, while malocclusions or misaligned teeth can lead to functional and aesthetic issues.

3. **Gum Health**: Healthy, pink gums are essential for a radiant smile, and gum recession or inflammation can compromise the overall appearance.

Addressing Common Curiosities about Repairing Black Triangles

When it comes to repairing black triangles, users often ask:

how to fix black triangles in teeth
  • Can black triangles be prevented?
  • What are the safest and most effective treatment options?
  • Will orthodontic treatments eliminate black triangles for good?

While preventing black triangles is ideal, gum recession and tooth alignment issues can sometimes be beyond prevention. Effective treatment options include gum grafting, orthodontic alignment, and even innovative dental materials.

A Smile for Every Face: Opportunities and Myths

Repairing black triangles presents opportunities for individuals of all ages and backgrounds to rediscover their natural confidence and beauty.

However, it's essential to separate fact from fiction.

Myth: Black triangles can be 'erased' with a single treatment or product.

Reality: Repairing black triangles often requires a combination of professional treatments, consistent oral care, and lifestyle adjustments.

how to fix black triangles in teeth

Opportunities and Applications of Repairing Black Triangles

While the desire for a radiant smile is universal, specific user groups may benefit from The Anatomy Of A Smile: Repairing Black Triangles With Ease in unique ways:

  • Individuals struggling with periodontal disease or gum recession
  • Orthodontic patients seeking optimal post-treatment results
  • Older adults looking to revitalize their smile
  • Celebrities and public figures aiming to maintain a camera-ready appearance

Looking Ahead at the Future of The Anatomy Of A Smile: Repairing Black Triangles With Ease

As our understanding of the intricate dynamics between periodontal health, tooth alignment, and gum recession continues to evolve, innovative treatments and technologies will emerge.

From minimally invasive procedures to advanced dental materials and diagnostic tools, the future of smile enhancement looks brighter than ever.

Embracing the pursuit of The Anatomy Of A Smile: Repairing Black Triangles With Ease can lead to not only a flawless smile but also enhanced overall well-being and confidence. As trends continue to shift, one thing remains clear: a radiant, healthy smile is within reach for anyone willing to explore The Anatomy Of A Smile: Repairing Black Triangles With Ease.

close