Reviving Smiles: 5 Proven Ways To Breathe New Life Into Decaying Teeth

Itmorelia
How To
Reviving Smiles: 5 Proven Ways To Breathe New Life Into Decaying Teeth

The Global Phenomenon: Reviving Smiles

Reviving Smiles: 5 Proven Ways To Breathe New Life Into Decaying Teeth has taken the world by storm, with people from all walks of life seeking innovative solutions to restore their dental health. This trending topic has far-reaching implications, affecting not only individuals but also communities and economies worldwide.

The cultural impact of Reviving Smiles: 5 Proven Ways To Breathe New Life Into Decaying Teeth cannot be overstated. In many societies, a healthy smile is a symbol of beauty, success, and confidence. When teeth decay, it not only affects one's self-esteem but also leads to social isolation and decreased participation in public life. By reviving smiles, individuals can regain their sense of purpose and belonging.

In addition to its cultural significance, Reviving Smiles: 5 Proven Ways To Breathe New Life Into Decaying Teeth also has a profound economic impact. Dental treatments can be expensive, and the costs of neglecting one's dental health can be staggering. According to a recent study, untreated dental problems can cost individuals up to $10,000 in additional medical expenses over the course of a lifetime. By investing in Reviving Smiles: 5 Proven Ways To Breathe New Life Into Decaying Teeth, individuals can avoid these costly consequences and maintain their economic stability.

The Mechanics of Reviving Smiles

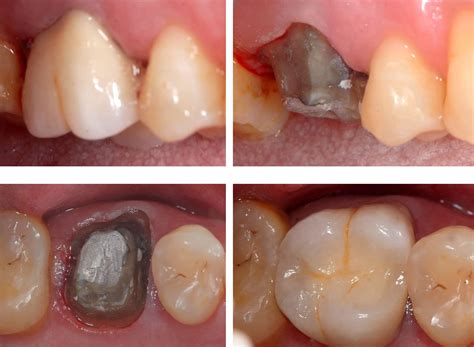
So, what exactly is Reviving Smiles: 5 Proven Ways To Breathe New Life Into Decaying Teeth? In essence, it involves using advanced dental techniques and technologies to restore decayed teeth to their former glory. This may involve procedures such as dental implants, crowns, bridges, or even full mouth reconstructions.

The process typically begins with a thorough examination of the teeth to determine the extent of the decay. Advanced imaging technologies, such as 3D X-rays and CT scans, are often used to visualize the tooth's structure and identify areas of damage. Based on this information, a personalized treatment plan is created to restore the tooth's functionality and appearance.

how to fix decaying teeth

How Does Reviving Smiles: 5 Proven Ways To Breathe New Life Into Decaying Teeth Work?

There are several ways to revive decaying teeth, depending on the extent of the damage and the individual's overall dental health. Some common methods include:

  • Dental implants: A titanium post is inserted into the jawbone to serve as a foundation for a prosthetic tooth. The implant is then topped with a crown or bridge to create a seamless smile.
  • Crowns: A crown is a cap that covers the entire tooth, restoring its shape and function. Crowns can be made from a variety of materials, including porcelain, ceramic, or gold.
  • Bridges: A bridge is a prosthetic tooth that is attached to adjacent teeth to fill a gap. Bridges can be made from the same materials as crowns.
  • Full mouth reconstructions: In cases of severe tooth decay or damage, a full mouth reconstruction may be necessary. This involves creating a customized treatment plan to restore the entire smile.

Myths and Misconceptions

Despite its growing popularity, Reviving Smiles: 5 Proven Ways To Breathe New Life Into Decaying Teeth is often shrouded in mystery and misconception. Some common myths include:

• Myth: Reviving Smiles: 5 Proven Ways To Breathe New Life Into Decaying Teeth is only for the wealthy. Reality: While some procedures can be expensive, there are many affordable options available for those on a budget.

• Myth: Reviving Smiles: 5 Proven Ways To Breathe New Life Into Decaying Teeth is only for cosmetic purposes. Reality: While some procedures may have a cosmetic component, many are designed to restore functionality and promote overall oral health.

how to fix decaying teeth

• Myth: Reviving Smiles: 5 Proven Ways To Breathe New Life Into Decaying Teeth is a one-time fix. Reality: Like any other dental treatment, Reviving Smiles: 5 Proven Ways To Breathe New Life Into Decaying Teeth requires regular maintenance to ensure long-term success.

Opportunities and Challenges

Reviving Smiles: 5 Proven Ways To Breathe New Life Into Decaying Teeth offers a wide range of opportunities for individuals, communities, and economies. Some potential benefits include:

• Enhanced self-esteem and confidence: By restoring their smile, individuals can regain their sense of self-worth and participate more fully in public life.

• Improved oral health: By addressing decayed teeth, individuals can prevent more serious health issues, such as heart disease and diabetes.

how to fix decaying teeth

• Increased economic stability: By investing in Reviving Smiles: 5 Proven Ways To Breathe New Life Into Decaying Teeth, individuals can avoid costly medical expenses associated with neglected dental health.

Looking Ahead at the Future of Reviving Smiles: 5 Proven Ways To Breathe New Life Into Decaying Teeth

As Reviving Smiles: 5 Proven Ways To Breathe New Life Into Decaying Teeth continues to gain popularity, it is essential to look ahead to the future and consider the potential implications. Some potential trends and developments include:

• Increased use of technology: Advances in dental technology, such as 3D printing and AI-powered imaging, are likely to play a larger role in Reviving Smiles: 5 Proven Ways To Breathe New Life Into Decaying Teeth in the future.

• Greater emphasis on preventative care: As the industry shifts towards more proactive approaches to oral health, individuals can expect to see a greater focus on preventative care and early intervention.

• Increased accessibility: Efforts to make Reviving Smiles: 5 Proven Ways To Breathe New Life Into Decaying Teeth more affordable and accessible are likely to continue, making it possible for more people to benefit from this life-changing treatment.

close